변화,
그 이상의 자신감
선물합니다

JM의원은 개개인의 조화를 고려한 맞춤 성형으로
가장 나다운 아름다움을 완성합니다.

Scroll

당신만의 아름다움을
찾아드립니다

획일화된 미가 아닌, 나에게 꼭 맞는 맞춤형 성형 솔루션

ㆍJM CLINICㆍ

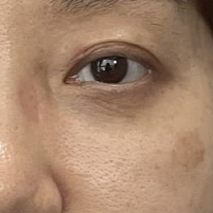
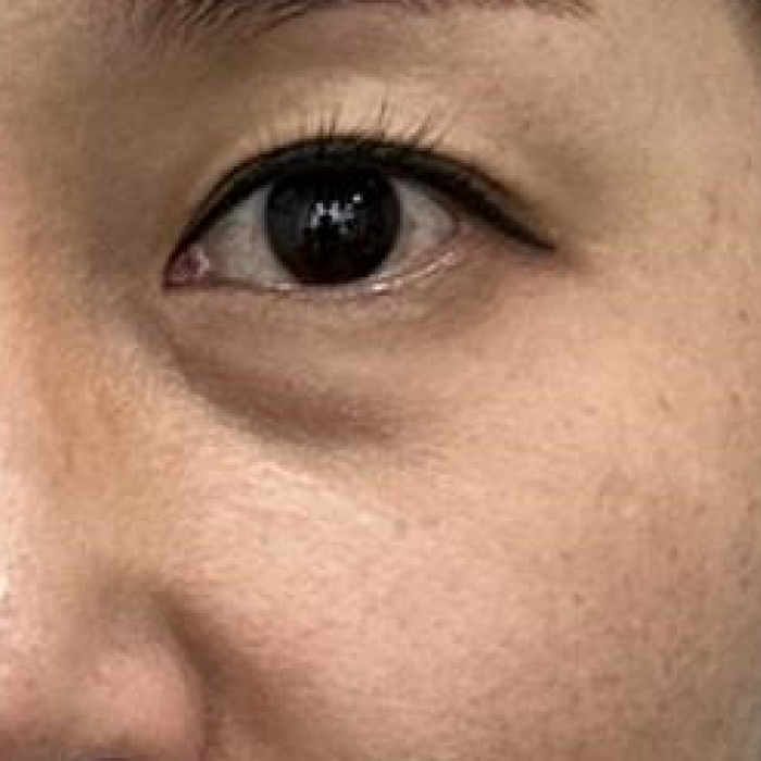
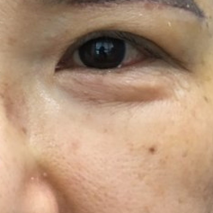
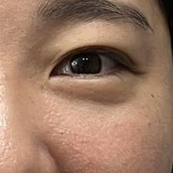
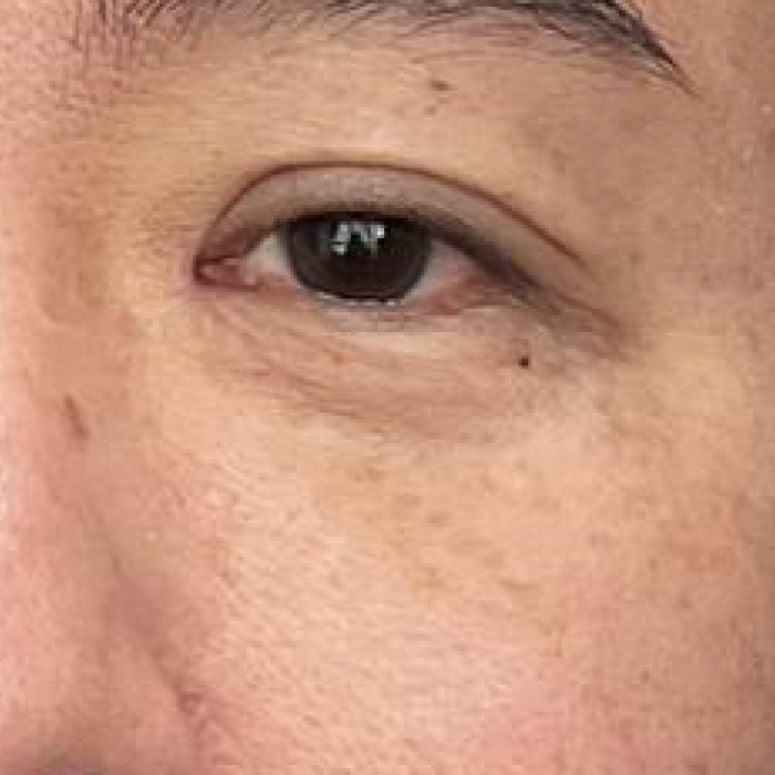
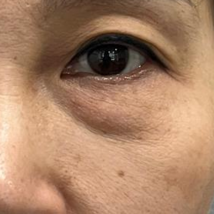
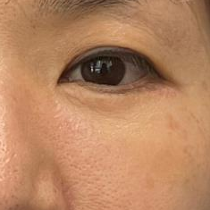
경결막 눈밑지방 재배치

경결막 눈밑지방 재배치는 눈밑 지방을 눈물 고랑 아래로 재배치하여
눈물고랑을 개선하고 애교살을 보존하여 밝고 자연스러운 눈매를 만듭니다.
흉터없이 다크서클을 개선하고 수술 효과가 오래 유지됩니다.

  • 수술시간 30분
  • 회복기간 1일
  • 마취방법 수면마취
  • 입원치료 불필요
  • STEP 01

    개인의 얼굴을 고려한
    조화롭고 니즈에 맞는 디자인

  • STEP 02

    눈 안쪽 결막을 통해 접근

  • STEP 03

    튀어나온 부위 지방을
    눈물고량 아래 꺼진 부분에 고정

  • STEP 04

    환하고 생기넘치는 동안 눈매완성

ㆍJM CLINICㆍ

눈성형

JM의원의 눈성형은 개인의 눈매, 얼굴 비율, 피부 상태를
면밀히 분석한 맞춤형 디자인으로 진행됩니다.
자연스럽고 또렷한 눈매를 목표로 하며,
과하지 않으면서도 인상을 부드럽게 개선해줍니다.

절개법

쌍꺼풀 절개법은 피부를 절개해 쌍꺼풀 라인을 만들어주는 수술입니다.
눈꺼풀 피부가 두껍거나 지방이 많은 경우에도 또렷하고 선명한 라인을 만들 수 있습니다.
지방 제거 및 눈매교정이 함께 가능해 자연스럽고 선명한 눈매 개선에 효과적입니다.

  • 수술시간 40분
  • 회복기간 1주
  • 마취방법 부분마취
  • 입원치료 불필요
  • STEP 01

    개인의 얼굴을 고려한
    조화롭고 니즈에 맞는 디자인

  • STEP 02

    눈의 비율과 라인에 맞게
    지방 및 조직 제거

  • STEP 03

    피부와 눈뜨는 근육을
    연결 후 섬세하게 봉합

  • STEP 04

    시원하고 또렷한
    눈매 완성

눈썹하거상

처진 눈꺼풀을 개선하기 위해 눈썹 바로 아래를 절개하여 피부를 당겨주는 수술입니다.
눈꺼풀이 답답해 보이거나 이마에 힘을 주는 습관이 있는 경우에 효과적입니다.
자연스러운 눈매 개선과 함께 이마 주름 완화에도 도움이 됩니다.

  • 수술시간 40분
  • 회복기간 1주
  • 마취방법 부분마취
  • 입원치료 불필요
  • STEP 01

    개인의 얼굴을 고려한
    조화롭고 니즈에 맞는 디자인

  • STEP 02

    눈썹 아랫부분을
    디자인에 따라 절개

  • STEP 03

    늘어진 피부와 근육 절제 후
    피부를 당겨 봉합

  • STEP 04

    시원하고 또렷한
    눈매 완성

ㆍJM CLINICㆍ

실리프팅

JM의원의 실리프팅은 특수 실을 이용해 처진 피부를 물리적으로
끌어올려 탄력 있는 얼굴라인을 만들어주는 시술입니다.
비절개 방식으로 멍과 부기가 적고, 자연스러운 리프팅 효과와
콜라겐 재생을 동시에 기대할 수 있습니다.
개개인의 피부 상태와 처짐 정도를 고려해
맞춤형 리프팅 솔루션을 제공합니다.

민트실

민트실은 특허받은 돌기가 있는 실을 사용해 강력한 리프팅 효과주는 시술입니다.
처진 피부를 즉각적으로 당겨주면서 콜라겐 생성을 촉진해 탄력 있는 피부로 개선해줍니다.
비수술적 방식으로 회복이 빠르고 자연스러운 리프팅이 가능합니다.

  • 특수 돌기 공법으로 강력한 리프팅 효과 제공
  • 높은 지지력으로 리프팅 긴 유지 기간
  • 콜라겐 생성 촉진으로 피부 탄력 개선
블루로즈

블루로즈 실리프팅은 특수한 고정 돌기가 있는 실을 사용해 피부를 강력하게 당겨줍니다.
피부 처짐을 개선하면서 동시에 탄력과 페이스라인 정리 효과를 기대할 수 있습니다.
절개 없이 진행되어 회복이 빠르고 자연스러운 결과를 제공합니다.

  • 360도 입체 돌기로 강력한 고정력
  • 높은 리프팅 유지력
  • 콜라겐 유도 효과로 피부 탄력 증진
ㆍJM CLINICㆍ

스킨부스터

스킨부스터는 피부 속에 유효 성분을 직접 주입해
수분, 탄력, 피부톤을 개선하는 주사 시술입니다.
건조하고 푸석한 피부에 생기를 부여해
촉촉하고 건강한 피부결로 회복시켜 줍니다.

ㆍ01ㆍ 리쥬란
ㆍ02ㆍ NCTF 135HA
ㆍ03ㆍ 물광
ㆍ04ㆍ 스킨보톡스
ㆍ05ㆍ 쥬베룩
ㆍ06ㆍ 엑소좀
ㆍJM CLINICㆍ

필러ㆍ보톡스

JM의원의 필러·보톡스 시술은 자연스럽고 조화로운 얼굴 라인을
목표로 하며 정확한 부위에 섬세하게 시술하여 볼륨 개선과
주름 완화를 동시에 기대할 수 있습니다.

ㆍ01ㆍ 레스틸렌
ㆍ02ㆍ 엘라비에
ㆍ03ㆍ 채움
ㆍ01ㆍ 제오민
ㆍ01ㆍ 보튤렉스
ㆍJM CLINICㆍ

피부

JM의원의 피부시술은 색소 개선, 점 제거, 상처 봉합 등
다양한 피부 고민을 맞춤 방식으로 해결합니다.
피부 상태에 따른 정밀 진단을 바탕으로
흉터 최소화와 피부 재생을 도와드립니다.

색소

JM의원 색소치료는 기미, 주근깨, 잡티 등 다양한 색소 질환을
피부 타입에 맞는 맞춤 레이저로 치료합니다.
정밀한 진단과 시술로 맑고 균일한 피부 톤 개선을 도와드립니다.

  • 개인 피부 상태에 맞춘 맞춤 진료
  • 다양한 레이저 장비를 활용한 정밀 치료
  • 자극은 최소화하고 효과는 극대화
점제거

JM의원 점제거 시술은 피부 타입과 점의 깊이에 따라
레이저로 안전하게 제거하여 진행됩니다.
흉터를 최소화하면서 깨끗하고 매끄러운 피부로 개선해드립니다.

  • 개인 피부 상태에 맞춘 맞춤 진료
  • 흉터와 색소침착 최소화
  • 짧은 시술 시간과 빠른 회복력
상처봉합

JM의원의 상처봉합 시술은 외상이나 사고로 인한 상처를
흉터를 최소화하는 방식으로 정밀하게 봉합합니다.
미용적인 결과까지 고려하여 자연스럽고 깔끔한 피부 복원을 지향합니다.

  • 섬세한 봉합 기술
  • 흉터 최소화를 위한 맞춤 봉합 방법 적용
  • 상처 상태에 따른 체계적인 사후 관리 제공
ㆍJM CLINICㆍ

학회발표

JM의원은 끊임없는 연구와 발전을 위해 국내외 다양한 학회에 적극적으로 참여하고 있습니다.
정기적인 학회 활동을 통해 최신 시술 트렌드와 안전한 수술 기법을 지속적으로 공유하고 적용하고 있습니다.

또한, 학술 발표 및 전문 교육 과정을 통해 의료진의 전문성을 더욱 강화하고 있습니다.
이러한 노력은 환자에게 보다 정밀하고 만족도 높은 결과로 이어집니다.

ㆍJM CLINICㆍ

진료안내/오시는길

062.959.2230

광주 광산구 장신로 133 5층 JM의원

Jm9592230

주차 | 본건물지하, 건너편 다이소 2층 주차장
평 일
AM 10:00 ~ PM 06:00
화 요 일
AM 10:00 ~ PM 07:00
토 요 일
AM 10:00 ~ PM 03:00
점 심 시 간
PM 01:00 ~ PM 02:00

* 토요일은 점심시간 없이 진료합니다.

* 일요일 · 공휴일 휴진

  • 주소 : 광주 광산구 장신로 133 5층 JM의원
  • 대표 : 박정민
  • 사업자등록증번호 : 317-07-00339
  • TEL : 062-959-2230
COPYRIGHT © 2025 JM의원. ALL RIGHTS RESERVED.